2月13日,经历了22天的住院治疗,张大姨的病情已明显好转,即将出院进行后续康复训练。在离开医院之际,家人们紧紧握着医生的双手,诉说着心里的感激,这件事还得从那一天说起……

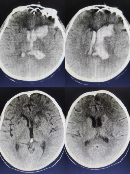
2023年1月22日凌晨,正值农历新年第一天,张大姨在家中突发剧烈头痛、头晕伴恶心、呕吐,家人紧急送到我院就诊,来院时已处于昏迷状态,血压高达270/110mmHg。急诊科医师紧急进行降压处理、开具颅脑CT,并请外二科会诊。经相关检查,确诊为脑内出血并破入脑室,病情十分危急,需及时进行手术处理。当晚,外二科值班医师季鑫对张大姨进行全面评估后,告知家人病情。取得家人同意后,第一时间联系相关科室,准备手术。

麻醉科医师到位,器械护士到位,巡回护士到位……虽然正值新春佳节,但进行手术的医护人员们心里不敢有丝毫松懈,还是像往常一样,一丝不苟地进行相关操作、有条不紊地相互密切配合,仿佛有一条看不见的绳,将大家心心紧紧地牵在一起。经过了2个多小时的手术,张大姨终于脱离了生命危险,遂转至重症医学科进一步观察、治疗。这时,每个人悬着的心才终于放了下来。
在重症监护室的十多天里,外二科与重症医学科共同制定了详细而完善的治疗方案:预防感染、积极排痰、纠正电解质、营养支持、腰椎穿刺、放置腰大池引流……3天后,张大姨病情有所好转,逐渐恢复了自主意识,转入外二科普通病房。
在外二科普通病房,在孙涛主任带领的医护团队的精心照料下,一天天地好转着,她的家人们看在眼里,感激在心里。2月10日,张大姨终于可以下床站立行走了。她的儿女们在第一时间送上了一面锦旗,以表达对外二科医护人员的由衷感激。在这乍暖还寒的季节,这面锦旗无疑是对我们工作的一种肯定,让我们在新的一年里更加斗志昂扬地投入到工作中去。
“医德高尚医术精,关爱病患暖人心”,锦旗上的赞许是病人及家属对我们工作的肯定,更是每个医护人员的自我要求。健康所系,性命相托,我们当时刻谨记这项工作的神圣使命,不仅为病人解除痛苦,更要进入病人的灵魂,做病人的心灵支柱。