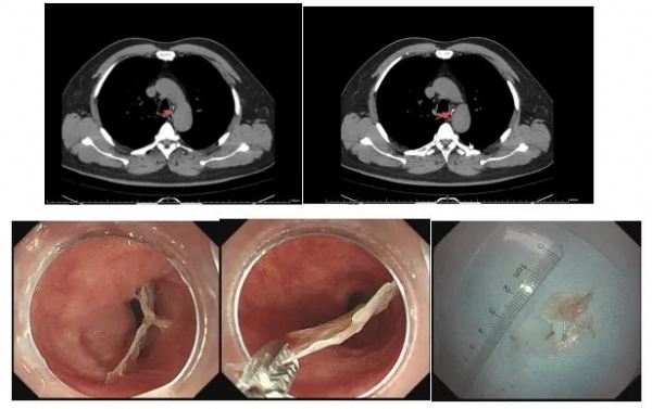
近日,脾胃病科来了一位胸骨后疼痛的患者,患者在喝汤的时候误吞了鱼骨,胸部CT提示食管平主动脉弓水平见不规则致密影,最大矢状径约2.7cm,前后径约为2.1cm,局部与管壁关系密切。考虑邻近主动脉弓,异物在此处造成穿孔后,容易引发大出血,危及生命,立即安排急诊胃镜。在赵月坤主任的指导下,脾胃病科秦兴平医师与内镜室护士、麻醉医师密切配合,行急诊胃镜食管异物取出术。术中见距门齿约30cm可见一不规则异物嵌顿,部分刺入黏膜,局部充血水肿,见少量渗血,未见明确穿孔。通异物钳取出,异物大小约2.5×4cm。术后患者安全返回病房,成功为患者解除痛苦,精湛的技术赢得患者及家属赞誉。

食道异物莫心大
一、常见的卡喉异物。1. 食物:如花生、豆类、果冻、糖果、鱼刺、鸡鸭骨头等。2. 小玩具:如塑料珠、小螺丝、弹珠等。3. 家用物品:如硬币、游戏币、别针、电池等。
二、异物卡喉的原因多种多样,以下为几种常见原因。
(1)饮食习惯不当:如进食过快、咀嚼不充分、边吃边说话等。
(2)生活习惯不良:如躺着进食、酒后进食等。
(3)儿童好奇心强:儿童喜欢将小物件放入口中,容易导致异物卡喉。
(4)老年人牙齿缺失:老年人牙齿缺失,咀嚼功能减退,容易导致食物卡喉。
三、应急处理与自救方法一旦发生异物卡喉,应立即采取应急处理措施。
(1)寻求专业救治:应立即拨打急救电话,寻求专业救治。
(2)海姆立克急救法:对于意识清醒的患者,施救者站在患者背后,双手环抱患者腰部,一手握拳,另一手包住拳头,迅速向上推压,帮助患者将异物排出。
四、食管异物处理的误区。
(1)误区一:通过吞食馒头、饭团、蔬菜等食物将异物推下。恰恰相反,吞咽食物会将异物带入更深的位置,加重对食管的损伤.增加治疗的难度。
(2)误区二:喝醋。此方法并不可取,理论上鱼刺、骨片等异物可以被酸软化,但喝醋时醋液不能在食管停留,不能达到软化异物的效果。此外,醋液还可能对已经存在的创面造成刺激,加重食管的损伤。
五、 如何预防食管异物地发生。
(1)细嚼慢咽:进食时充分咀嚼食物,使食物变得细小,易于吞咽。
(2)避免边吃边说话:进食时注意力集中,避免分心,减少异物卡喉的风险。
(3)不给3岁以下的孩子吃整粒坚果或小果冻,避免食用带核的水果;
(4)在孩子吃东西时,不要逗弄或追喂,避免在笑或哭闹时喂食;
(5)不要给低龄儿童玩有小零件或容易拆卸的玩具,如纽扣电池、笔帽等;
总之,预防异物卡喉需要我们从日常生活做起,养成良好的饮食习惯,加强家庭教育,关注老年人健康,定期体检,及时治疗相关疾病。只有做好预防措施,才能降低异物卡喉的发生风险,确保自己和家人的生命安全。
我院脾胃病科和内镜中心由资深专家组成的专业团队,为您提供全程贴心服务。在检查前,我们会为您进行详细的评估,制定个性化的检查方案;检查过程中,医护人员会密切关注您的感受,让您在尽可能舒适的状态下完成检查;检查后,我们还将为您提供专业的建议和治疗方案。
科室简介
北京中医药大学东方医院枣庄医院脾胃病科于2016年8月29日正式独立成科,是山东省“十三五”中医药重点专科、枣庄市重点专科、枣庄市重点学科。形成了以赵月坤主任为学科带头人的优秀团队,以门诊、病房、内镜室三位一体的脾胃病诊疗体系。科室医护人员25人,其中主任医师2人,副主任医师3人,主治医师6人,住院医师1人,副主任护师2人,主管护师3人,护师8人。
中西医结合治疗脾胃病是科室的特色疗法,科室配备专业的中医理疗医师,广泛将针灸、推拿、热敏灸、脐灸等中医适宜技术运用于临床,消化内镜检查开展内镜精查、减痛内镜和无痛内镜,配有内镜系统、放大内镜、超声内镜等。消化道肿瘤的早诊早治,开展了ESD、ESE、EFR、消化道支架置入术、消化道大出血内镜下止血、消化道异物内镜取出术等镜下手术。科室配备了电子纤维内镜,二氧化碳气泵,德国ERBE高频电刀,超声内镜,胶囊内镜等诊疗设备。
咨询电话:3068911,3068927
新城院区地址:枣庄市薛城区太行山南路2666号