北京中医药大学枣庄医院肿瘤科最近用中西医结合方法成功治疗一例晚期胃癌患者。
患者女性,61岁,主诉:“胃脘部疼痛9月,发现胃癌5月”。在外院诊断为:胃窦腺癌,伴腹膜后、腹腔淋巴结转移,侵及胰腺。

2017-07-07(治疗前)腹部强化CT:胃窦癌伴腹膜后、腹腔淋巴结转移,累及胰头,胰腺颈。

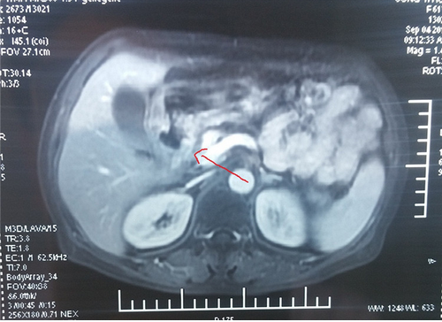
2017-09-03(治疗后)腹部MRI提示:腹腔内无淋巴结肿大。
患者2月前来的我院肿瘤科,考虑到患者年龄大,饮食少,伴有腹痛,体质差,预计生存期3月。我院肿瘤科杨金山副主任医师与中医专家田思强科主任进行中西医结合讨论,充分论证,对这种病情复杂的肿瘤晚期患者,决定采取单药口服化疗及中药调理。单药口服化疗具有副作用小的特点,结合中药扶正祛邪,调节免疫等干预。经2周期的精心治疗,2017-09-03查腹部MRI提示:腹腔内转移瘤消失,胃窦部肿瘤明显缩小。患者饮食、体力状况明显改善,腹痛缓解,能独立正常生活,患者及家属满意。中西医结合治疗凸显了在肿瘤治疗的优势。
北京中医药大学肿瘤科是中西医结合治疗的特色肿瘤专科,是集化疗、靶向治疗、血管介入、肿瘤微创、中医中药等于一体的专业科室。核心专家团队有:主任医师1人,副主任医师2人,主治医师5人。开展血管介入、粒子植入等技术肿瘤微创达到国内先进水平。依托北京中医药大学枣庄医院中医治疗的优势,能明显改善肿瘤晚期患者的生存质量。热敏灸技术减轻肿瘤患者痛苦,延长患者生存。与北京中医药大学附属东方医院肿瘤科开展学科共建,开展多学科诊疗及远程会诊,为肿瘤患者提供更好的医疗服务。
我们期待为更多的肿瘤患者解除痛苦,延长生存期。