世界爱牙日
1989年,由卫生部、教委等部委联合签署,确定每年的9月20日为全国的爱牙日。宗旨是通过爱牙日活动,来广泛动员社会的力量,在群众中进行牙病防治知识的普及教育,增强口腔健康观念和自我口腔保健的意识,建立口腔保健行为,从而提高全民族的口腔健康水平。建立爱牙日是为了加强口腔预防工作,落实预防为主方针的重要举措!
健康每一天,从爱牙开始!在这世界爱牙日来临之际,小编来给大家分享一些有关牙周病的科普知识。
一、牙周疾病概述
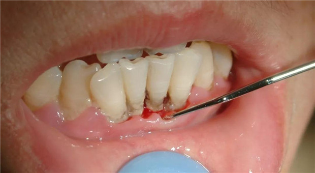
牙周疾病特指只发生在牙周支持组织的各种疾病。包括牙龈、牙骨质、牙周韧带和牙槽骨因炎症所致的一种疾病,是最常见的口腔疾病之一,也是导致牙齿丧失的一个主要原因。但患者并非所有这些组织都同时患病,视局部炎症的轻重及范围,实际上牙周病可分为牙龈病和牙周炎二大类。

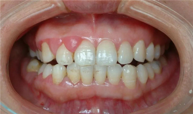
牙龈病

牙龈病
二、牙周疾病与健康关系
1.与冠心病的关系
由芬兰赫尔辛基大学提供的口腔研究报告表明,牙根尖端感染(根尖牙周炎)会增加患心脏病的风险,超过半数的心脏病患者同时患有根尖牙周炎。
2.与卒中的关系
越来越多的证据表明,牙周疾病与心血管疾病之间存在着必然联系。牙龈有炎症的状态下,口腔细菌随时可能进入血液循环系统,这些细菌中含有的促凝蛋白,可能会堵塞血管和动脉,进而增加卒中和心脏疾病的风险。
3.与舌癌的关系
舌癌一般恶性程度较高,生长快。研究表明:86%的青壮年舌鳞状上皮癌,与患者的牙齿畸形有关。
牙齿对舌部的长期接触磨损,可使舌头局部形成慢性病灶;青壮年男性吸烟、饮酒较多,这些复杂的有害因素长时间刺激病灶,可使舌病患处的组织细胞逐渐发生畸变,最后便可能导致癌变的发生。
4.与胃炎、胃癌的关系
世界卫生组织下属国际癌症研究所将幽门螺旋杆菌定为人类1类致癌原。有研究显示,在胃癌患者中,60%可检出幽门螺旋杆菌感染。而这些幽门螺旋杆菌很多是藏在牙菌斑里的!
5.与阿尔茨海默症的关系
一项由中央兰开夏大学(UCLan)医学和牙医学院主导的研究发现,口腔卫生不良或者牙龈疾病可能会使发生阿尔茨海默症的风险增高。
6.与糖尿病的关系
牙周的炎症增加糖尿病并发症的风险,另一方面,Ⅱ型糖尿病患者牙周炎发病率显著增加。
哥伦比亚大学梅尔曼公共卫生学院的研究人员研究发现:牙周疾病水平更高的人罹患Ⅱ型糖尿病的风险是牙周疾病水平低或没有牙周疾病的两倍。
7.与肺炎的关系
肺部与口腔距离较近,感染口腔中的一些致病菌可以被吸入肺部,引起肺炎或加重慢性阻塞性肺疾病:美国疾病控制与预防中心引用的一些干预性研究也表明,改善口腔健康可以减少呼吸系统感染。
三、预防牙周疾病—洁牙
洁牙,俗称洗牙,专业术语龈上洁治术,是指用洁治器械去除牙龈上牙石、菌斑和色渍,并磨光牙面,以延迟菌斑和牙石再沉积。牙菌斑和牙结石是牙周病最主要的局部刺激因素,洁治术是去除龈上菌斑和牙石最有效的方法。洗牙的主要目的是为了防治口腔疾病,而不单纯是为了好看。通过洗牙可以减轻牙龈炎、牙周炎的炎症状况。
多长时间应该洗一次牙呢?
1、牙面上的牙石,一旦被清除后,又可慢慢的再沉积。这种沉积的快慢与刷牙仔细与否、个人生活习惯,个人生理状况都有关系。如刷牙不周到,只把门面刷得很干净,后面的大牙和牙齿的舌面就刷得马虎,这些地方就会很快又出现牙石。有的嗜好吸烟和饮茶,这样的人,洁牙后不几周,牙面又变污秽发黑了。
2、有的人唾液里磷、钙的含量较高,唾液又较粘稠,洁牙后不几月,就又出现了较多的牙石。因此,为了确保口腔的健康,保持牙齿洁白生辉,最好是每半年到牙科诊所去洁一次牙,吸烟在每三月就应去洁一次牙。
超声波洁治
超声波洁牙,利用超声波产生的高频、高能振动通过光滑的超声波洁治机工作头把牙齿表面的牙结石、牙渍击碎,然后通过洁治机产生的水雾把碎石、菌斑冲刷下来,还您一口清洁、光滑、清新洁白的牙齿,是一种高效、卫生、方便、舒适的牙齿洁治手段,在临床中得到广泛应用。
超声波洁治优点
1.对牙面的损害非常小,无疼痛、治疗无交叉感染、无远期伤害,整个过程严格执行无菌操作。
2.洗牙时间也很短,一次洗牙,清洁、保健、美齿只需30分钟。
3.治疗方便,效果明显,不会伤害到口腔健康。
4.不需要麻药,无副作用,在音乐休闲等待中轻松度过。
5.对牙结石、黄牙、烟斑牙等洗后即可看见卓越的美白效果。
四、如何预防牙周疾病
1.保持良好的口腔卫生
日常口腔卫生包括:每次饭后可用漱口液彻底含漱;每顿饭后用软毛牙刷细心刷牙,从上下颌牙龈刷到牙齿,在牙刷较难刷到的区域可使用间隙刷;刷牙后检查固定装置和牙齿有没有完全清理干净。
2.饮食护齿
鸡蛋、水果、蔬菜、排骨汤等,含有丰富的蛋白质、矿物质、维生素等,经常食用有益坚齿。如果人体摄取蛋白质不足,还易患龋齿病。此外,饮食时要注意保护牙齿,如忌过多食用酸辣食物,以防牙釉受侵蚀而破坏。
3.鼓腮漱口
每天做一两次闭口鼓腮漱口动作,并将舌头左右转动,这样能使唾液分泌增多,使牙面、牙缝和口腔粘膜受到一定的冲洗和刺激,可使口腔自洁,保护牙齿健康。
4.定期进行口腔检查
成年人较常出现的问题是龋病和牙周病,因而成年人主要检查是否患有牙龈炎、牙周袋以及牙齿松动度等问题。然而一些人仍然秉持着牙疼不是病的想法,以至于任由牙齿问题的发生发展,最终导致牙齿松动甚至脱落。因此成年人应每年进行一次口腔检查。
5.儿童口腔检查重要性
少年儿童主要需要检查龋坏和牙列不齐的问题,发现龋洞及时充填,发现有牙列不齐要及时矫正,以免影响以后的牙齿健康和美观。即使没有口腔内不适,儿童也应定期检查口腔状况。每半年去正规口腔医疗机构做一次全面口腔检查。
我院口腔科擅长各种牙髓、牙体、牙周病的诊断治疗,配备先进的西诺德ORTHOPHOSXG5全景机、Vario DG 牙科X射线机、自吸式超声洗牙机、光固化机、TAURUS综合牙科治疗台等专科设备。为广大口腔疾病患者提供优质的服务。
专 家 简 介

程玉伟,主治医师,长期从事口腔疾病的预防与治疗。曾在省立医院进修学习口腔正畸、口腔修复学。擅长各种牙髓牙体病的诊断与治疗、各类脱失牙的设计与修复、各类错合畸形的设计与矫正、各类难拨牙尤其阻生牙埋伏牙的拨除。对患者热情细心,对工作认真负责,先后多次被评为“先进工作者”。
坐诊时间:新院 周一至周五全天
东院 周六、周日全天
联系电话:0632-3068097